標本の説明

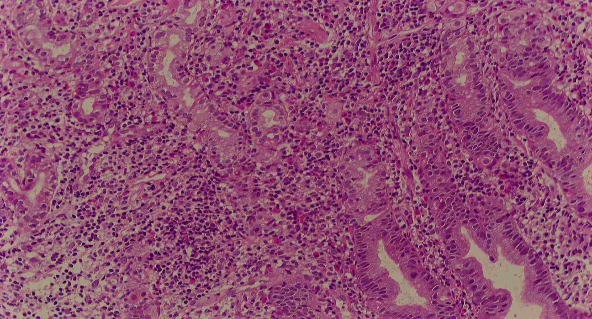
標本13